Uncover Ushikuvirus: A Giant DNA Virus Rewriting Cellular Evolution
The Mysterious Origins of Life and the Role of Viruses

The origins of life are a subject of endless fascination, and viruses add an extra layer of complexity to this mystery. These microscopic entities exist in a liminal space between living and non-living. They carry genetic material but lack the ability to produce proteins on their own, which prevents them from functioning as independent life forms. Despite this, viruses have been around since the first cells emerged, raising a fundamental question: where did they come from, and how have they influenced the development of life?
A recent discovery by researchers in Japan offers new insights into this age-old debate. A newly identified giant DNA virus, named ushikuvirus, has been found to infect amoebae. It was isolated from Lake Ushiku in Ibaraki Prefecture, Japan, and its unique characteristics may help reshape our understanding of cellular evolution.
A Long Debate Over Where the Nucleus Came From
Eukaryotic cells, which make up all animals, plants, and fungi, contain a nucleus enclosed in a membrane. This structure is crucial for storing and organizing genetic material. Scientists have long debated how the nucleus evolved. One prominent theory, proposed by Professor Masaharu Takemura and Dr. Philip Bell, suggests that the nucleus may have originated from a large DNA virus.
According to this hypothesis, a virus infected an ancient archaeal cell without killing it. Instead, the virus established a long-term presence within the host. Over time, it acquired genes from the host and eventually formed a structure resembling the nucleus. This idea, known as viral eukaryogenesis, challenges traditional views of evolution but gains support with each new discovery of giant viruses.
Giant DNA viruses, first discovered in 2003, have surprised scientists with their size and complexity. When they infect cells, they often create "virus factories" — specialized structures where viral replication occurs. Some of these factories are enclosed in membranes, resembling the nucleus in both form and function. This observation has fueled interest in the role of viruses in the evolution of complex cells.
A Giant Virus Found in Freshwater
Ushikuvirus is part of a growing group of giant viruses that infect amoebae. Vermamoeba, the host of ushikuvirus, is a single-celled organism commonly found in freshwater environments. The research team included Master’s students Jiwan Bae and Narumi Hantori from Tokyo University of Science, as well as Dr. Raymond Burton-Smith and Professor Kazuyoshi Murata from Japan’s National Institute of Natural Sciences.
Takemura described giant viruses as an open frontier in science. “Giant viruses can be said to be a treasure trove whose world has yet to be fully understood,” he said. He believes that studying these viruses could provide new perspectives on the connection between living organisms and viruses.
Despite their significance, isolating giant viruses remains challenging. Their diversity and environmental distribution make it difficult to identify and study them. Each new isolate adds valuable data to the field, especially when it exhibits unique traits.
A Capsid With New Details
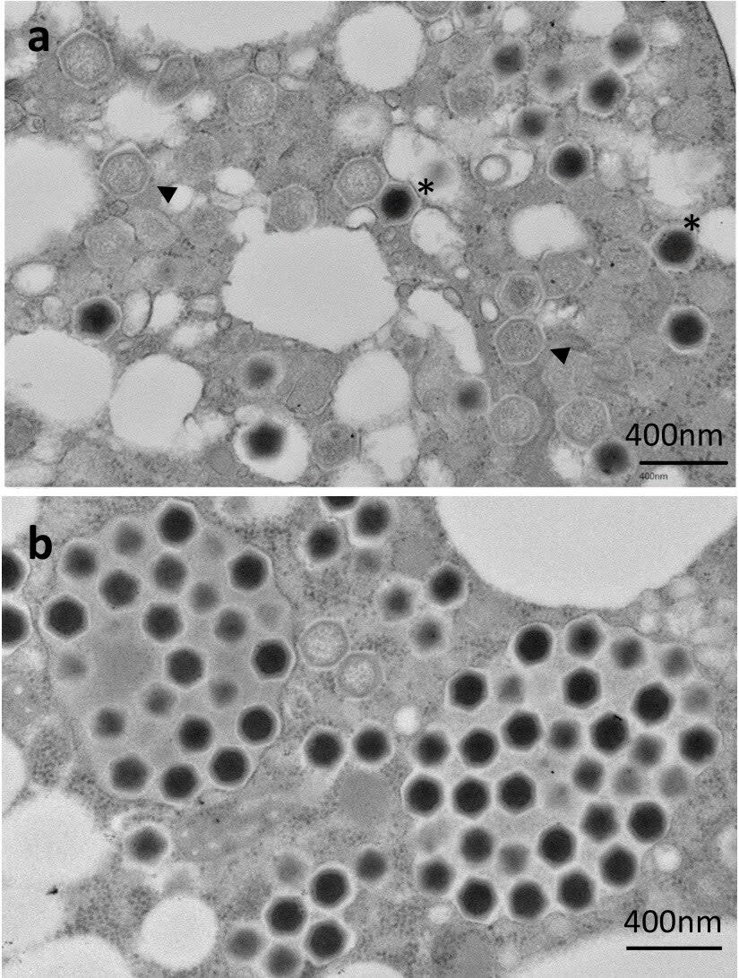
At first glance, ushikuvirus appears similar to viruses in the family Mamonoviridae, particularly Medusavirus, which has an icosahedral shape and numerous short spikes on its capsid. However, ushikuvirus has distinct features that set it apart. Its capsid includes multiple spike structures with unique extensions, some of which have filamentous projections. These features were not observed in Medusavirus.
The virus also causes noticeable changes in its host. It triggers a cytopathic effect, making vermamoeba cells abnormally large. This visible transformation provides clues about how the virus alters its host’s biology.
These differences are significant because they help scientists compare viral lineages. By analyzing such variations, researchers can better understand how giant viruses have diversified over time and how host interactions have shaped their evolution.
A Different Way to Use the Nucleus
One of the most intriguing aspects of ushikuvirus is its replication strategy. Unlike some related giant viruses that replicate within the intact nuclear membrane, ushikuvirus disrupts the nuclear membrane during replication. This places it in an interesting middle ground between viruses that use the nucleus without breaking it and those that dismantle the barrier to build their components.
The researchers suggest that this behavior may reflect adaptations to different host species. Even closely related viruses can face different evolutionary pressures depending on which amoebae they infect.
Takemura believes this discovery will stimulate further discussion about the evolution of giant viruses and eukaryotic cells. “The discovery of a new Mamonoviridae-related virus, ‘ushikuvirus,’ which has a different host, is expected to increase knowledge and stimulate discussion regarding the evolution and phylogeny of the Mamonoviridae family,” he said.
Practical Implications of the Research
Beyond theoretical implications, ushikuvirus offers practical value. By studying how it interacts with cell structures, particularly the nucleus, scientists can gain insights into the range of strategies used by giant viruses. This knowledge may deepen discussions about viral evolution and the origins of complex cells.
The findings also support ongoing research into the nuclear virus origin hypothesis. Giant viruses that create factory-like structures inside host cells provide real-world examples of compartmentalized DNA replication. Each new discovery helps clarify which features are shared across lineages and which evolved later.
Additionally, understanding how giant viruses infect and affect amoebae could lead to new approaches for preventing or treating amoeba-related diseases. For example, certain Acanthamoeba species can cause infections like amoebic encephalitis. While ushikuvirus infects a different type of amoeba, learning about its mechanisms could reveal vulnerabilities in amoebae biology that might be exploited for therapeutic purposes.
The research on ushikuvirus was published in the Journal of Virology.
Posting Komentar untuk "Uncover Ushikuvirus: A Giant DNA Virus Rewriting Cellular Evolution"
Please Leave a wise comment, Thank you